NEWS
|
3-Länder-Symposium → Kurzübersicht & Anmeldung |
||
|
|
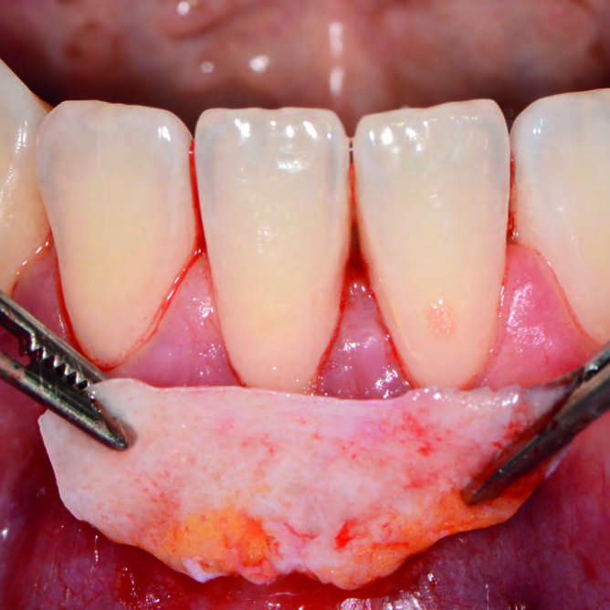
Case Report Prof. Péter Windisch |
|
|
|
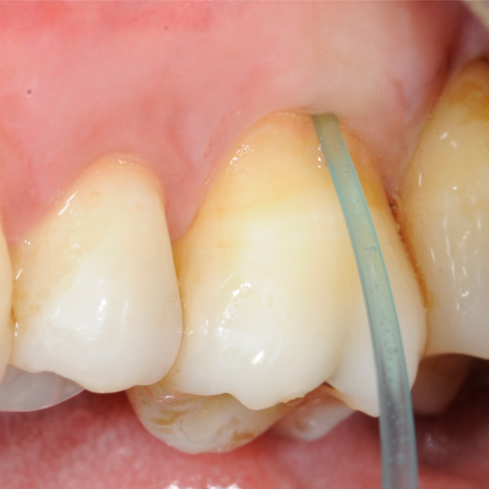
Case Report Dr. Egle Ramanauskaite |
|
|
|
Case Report Dr. Rico Jung |
|
|
|
Case Report Bassel Ayoub M.Sc. |
|
|
|
Studie Autor: Prof. Iorio-Siciliano |
|
|
|
||
|
|
Workshop |
|
|
|
Case Report Viktoria Plyeshakova |
|
|
|
Statement Prof. Dr. Anton Friedmann |
|
|
|
Post Event Reports Moderne Hyaluronsäure in Parodontologie und dentaler Chirurgie Regeneration im Praxisalltag neu denken |
|
|
|
Case Report Prof. Dr. Stefan Fickl |
|
![]() |
Interview
Die tickende Zeitbombe: Periimplantitis auf dem Vormarsch Prof. Dr. Dr. Anton Sculean |
|
![]() |
Interview
Ein Gamechanger in der Therapie Prof. Dr. Anton Friedmann |
|
![]() |
Podcast
Periimplantitis: Paradigmenwechsel in der nicht-chirurgischen Therapie PD Dr. Kristina Bertl |
|
![]() |
Interview
Ein evidenzbasiertes Konzept, das in die Praxis passt Prof. Dr. Dr. Anton Sculean |
|
![]() |
Case Report Nichtchirurgische Periimplantitistherapie Autorin: PD Dr. Kristina Bertl |
|
![]() |
Case Report Clean&Seal - Eine vielversprechende adjuvante Therapiemöglichkeit? Autorin: PD Dr. Kristina Bertl |
|
![]() |
Case Report Hyaluronsäure in der nicht-chirurgischen Parodontaltherapie Autor: Dr. Tin Crnić |
|
|
|
Case Report Prof. Dr. Anton Friedmann and Laura Benyei |
|
![]() |
Webinar Parodontale & periimplantäre Defekte erfolgreich behandeln — ohne Chirurgie...? Referentin: PD Dr. Kristina Bertl |
|
|
Case Report Dr. Thomas Liechti |
||
![]() |
Neue Studie Clinical evaluation of sodium hypochlorite/amino acids and cross‑linked hyaluronic acid adjunctive to non‑surgical periodontal treatment: a randomized controlled clinical trial Autor: Dr. Egle Ramanauskaite, Prof. Dr. Dr. Anton Sculean |
|
![]() |
Neue Studie CLEAN&SEAL Protokoll als wirksamer Bestandteil der AIT Autor: Dr. Tin Crnić |
|
![]() |
Neue Studie Behandlung von residualen Parodontaltaschen und Periimplantitis Autor: Laura Benyei |
|
![]() |
Case Report
Tentpole-Technik unterstützt durch vernetzte Hyaluronsäure Dr. Alexander Müller-Busch |
|
![]() |
Interview
Komplikationslose Wundheilung mit Heilungsboostern Priv.-Doz. Dr. med. dent. Kai Fischer |
|
![]() |
Case Report
Anwendung der minimal-invasiven Socket Seal-Technik Dr. Johannes Petschelt M.Sc., Dr. Andreas Petschelt |
|
|
|
Case Report
CLEAN&SEAL® Konzept: Zur nichtchirurgischen Behandlung tiefer Parodontaltaschen Dr. Rico Jung, Univ.-Prof. Dr. Anton Friedmann, Dr. Hakan Bilhan |
|
![]() |
Webinar
Ist die moderne vernetzte Hyaluronsäure eine (bessere) Referent: Dr. Alexander Müller-Busch |
|
![]() |
Case Report
Eine ausführliche Übersicht erschienen in PIP 4/2021 |
|
![]() |
Case Report
Verzögerte Sofortimplantation mit volumenstabiler Augmentation erschienen in PIP 6/2022 |
|
![]() |
Fokusinfo CLEAN&SEAL®
Wirksame Behandlung von parodontalen Infektionen erschienen in PIP 4/2021 |
|
![]() |
Case Report
Multiple Rezessionsdeckungen mit Kollagenmembran erschienen in Implantologie Journal 10/2021 |
|
|
Case Report Nichtchirurgische Behandlung tiefer persistierender Parodontaltaschen erschienen in ZWP 09/2022 |
|
![]() |
Case Report
Renaissance eines ästhetischen Oberkieferfrontzahnbereichs erschienen in PIP 5/2021 |
|
![]() |
Fokusinfo CLEAN&SEAL®
Frühe, wirksame Behandlung von periimplantärer Mukositis |
|
|
|
Podcast Referent: Dr. Frederic Kauffmann
|
|
![]() |
Neue Studie
Changes in clinical parameters following adjunktive local sodium hypochlorite gel in minimally invasive nonsurgical therapy (MINST) of periodontal sockets: a 6-months randomized controlled clinical trial. Autor: Prof. Vincenzo Iorio-Siciliano et al |
|
![]() |
Case Report
Behandlung von parodontalen und periimplantären Infektionen von Prof. Vincenzo Iorio-Siciliano |
|
![]() |
Case Report zu GBR-Protokoll mit Hyaluronsäure
Laterale Augmentation von stark atrophierten Kieferkämmen von Darko Bozic, DMD, MSc, PhD |
|
![]() |
Videostream
3D-DEFEKTE IM KNOCHEN DDr. Sascha Virnik |
|
![]() |
Videostream
Hyaluronsäure in der regenerativen und plastisch-ästhetischen Parodontalchirurgie Prof. Dr. Dr. Anton Sculean |
|
![]() |
Case Report
Einsatz von Hyaluronsäure in der Behandlung von gingivalen Rezessionen Prof. Dr. Dr. Anton Sculean |
|
|
|
Case Report zu CLEAN&SEAL®
Regenerative Behandlung eines Periimplantitisdefekts Prof. Dr. Anton Friedmann |
![]() |
|
Case Report
Korrektive Konturaugmentation eines residualen Implantatdehiszenzdefekts Rodrigo Neiva, DDs, MS |
![]() |
Aktuelle Langzeitdaten von OSSIX® Volumax Fokusinfo: |
|
![]() |
Case Report Bukkale Konturaugmentation mit Kollagenmatrix ohne KEM von Dr. Roberto Abundo, Dr. Giuseppe Corrente, Dr. Michele Perelli, Dr. Marta Zambelli |
|
















































