CHIRURGISCHE PA-THERAPIE
Regenerative Behandlung mit vernetzter Hyaluronsäure xHyA

Ziel der regenerativen Parodontaltherapie ist die vollständige Wiederherstellung des Zahnhalteapparats.1
Neben der Guided Tissue Regeneration (GTR)1-3 kommen zur Unterstützung von Wundheilung und der parodontalen Regeneration vermehrt Biologics (biologische Modifikatoren wie z.B. Schmelz-Matrixproteine) zum Einsatz.4
Deren klinische Effizienz hängt u.a. stark vom Applikationsprotokoll und der individuellen klinischen Situation ab.4 Deshalb fällt es oft schwer, ein optimales Behandlungsprotokoll der vergleichsweise hochpreisigen und technik- sensitiven Biologics zu finden.
Aufgrund ihrer vorteilhaften Eigenschaften bietet die erheblich preisgünstigere vernetzte Hyaluronsäure (xHyA) nahezu perfekte Voraussetzungen für die Anwendung in der regenerativen Parodontologie.5
BEHANDLUNG
Regenerative PA-Therapie mit vernetzter Hyaluronsäure
Mit xHyA steht Ihnen eine Hyaluronsäure (HA) zur Verfügung, die für den Einsatz in der regenerativen Zahnmedizin entwickelt wurde.
HA weist eine Reihe von physiologischen Wirkungen auf, die zur Unterstützung der Regeneration von parodontalen und oralen Wunden entscheidend sind, sowohl bei geschlossener als auch bei chirurgischer Anwendung.
- Stabilisierung und Schutz des Wundraums6-11
- Unterstützung der Geweberegeneration9,12-19
- Beschleunigte kontrollierte Wundheilung8,9,20-23

VEREINFACHTE ANWENDUNG
Vernetzte Hyaluronsäure wird durch einen biotechnologischen Prozess hergestellt. Somit ist xHyA aus nicht-tierischer Herkunft und stellt eine erheblich kostengünstigere Alternative zu den klassischen Biologics dar. Die Applikation ist im Vergleich zu den klassischen Biologics stark vereinfacht, da die Wundstelle nicht trocken/blutarm sein muss und auch keine Konditionierung der Wurzeloberfläche nötig ist.

VORTEILE
- Breitere Patientenakzeptanz
- Kosteneffizienter
- Verkürzte Behandlungszeit
Mehrere klinische Studien zeigen bei adjuvanter Anwendung von HA einen positiven Effekt hinsichtlich einer Verringerung von BOP, PD und zusätzlichem CAL Gewinn im Vergleich zur alleinigen Lappen-OP.24,25
Durch adjuvante Gabe von HA kann in der gewichteten mittleren Differenz aller in einem Review mit Meta-Analyse ausgewerteten Studien sowohl eine Verbesserung des klinischen Attachments (CAL: -0,85mm) als auch der Sondierungstiefe (PD: -0,89mm) im Vergleich zum SRP allein erreicht werden.24

xHyA führt zu einer echten parodontalen Regeneration und nicht zu einer bindegewebigen Auffüllung der Zahntasche. In einer vergleichenden tierexperimentellen Arbeit zeigte die Kombination einer Lappen-OP (open flap debridement OFD) und xHyA nach 2 Monaten statistisch signifikant bessere Werte bei der Bildung von neuem Wurzelzement, der durch inserierende Kollagenfasern im Kontakt mit neu gebildetem Knochen war, als die alleinige Lappen-OP (2,43 ± 1,25mm i. Vgl. zu 0,55 ± 0,99mm).26

KLINISCHE EVIDENZ
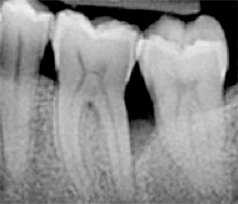
Chirurgische Behandlung eines intraossären Defekts mit xHyA unter Beobachtung einer schnellen Wundheilung

Prof. Pilloni
Italien
LITERATUR
- Sculean A et al. Med Princ Pract. 2007;16(3):167-80.
- Hägi TT et al. Quintessence Int. 2014;45(3):185-92.
- Benic GI et al. Periodontology 2000 2014;66:13–40.
- Bashutski JD et al. Clin Adv Periodontics. 2011 Aug;1(2):80-87.
- Rajan P et al. Universal Research Journal of Dentistry. 2013;3:113.
- Saranraj P and Naidu MA. IJPBA, 2013;4(5):853–859.
- King SR et al. Surgery 1991;109(1):76-84.
- Yildirim S et al. J Periodontol. 2017;15:1-14.
- Pilloni A et al. Clin Oral Investig. 2018. doi: 10.1007/s00784-018-2537-4.Erratum in: Clin Oral Investig. 2018;22(8):2961-2962.
- Pirnazar P et al. J Periodontol 1999;70:370–374.
- Carlson GA et al. Biochem Biophys Res Commun. 2004;321(2):472-478.
- Mueller A et al. Clin Oral Investig. 2017;21(4):1013-1019.
- Asparuhova M et al. J Periodontal Res 2019;54:33–45.
- Sasaki T et al. Bone 1995;16(1):9–15.
- Prince CW et al. BMC Musculoskelet Disord. 2004;5(1):12.
- Nobis B et al. J Dent Res 2020, Vol 99, Spec. Issue A, im Druck.
- Mendes RM e al. Arch Oral Biol 2008;53(12):1155–1162.
- Kim JJ et al. J Periodontol. 2016;87(7):790-795.
- Alcântara CEP et al. Braz Oral Res. 2018;32:e84.
- Kessiena L et al. Wound Rep Reg 2014;22:579-593.
- Longaker T et al. Ann. Surg. 1991;4:292–296.
- Mast BA et al. Matrix 1993;13:441–446.
- Yildirim S et al. J Periodontol. 2017;15:1-14.
- Eliezer M et al. Clin Oral Investig. 2019;23(9):3423-3435.
- Bertl K e al. J Clin Periodontol. 2015;42(3):236-246.
- Shirakata Y et al. Quintessence Int. 2021;0(0):308-316.
DOWNLOAD-BEREICH
| Fokusinfo Fortschrittliche PA-Therapie mit vernetzter Hyaluronsäure | |
| Broschüre PERISOLV® | |
| Broschüre xHyA | |
















