PERIIMPLANTÄRE MUKOSITIS
Frühe, wirksame Behandlung mit CLEAN&SEAL®

Die steigende Anzahl an Implantaten führt zu einer signifikanten Zunahme an Spätkomplikationen1-3 im Sinne von periimplantären Infektionen4-7:
Periimplantäre Mukositis,8-10 charakterisiert durch eine Entzündung des Weichgewebes, und Periimplantitis, ausgezeichnet durch einen fortschreitenden Verlust des unterstützenden Knochens.11
Da Periimplantitis im schlimmsten Fall zum Implantatverlust führen kann, sollten periimplantäre Infektionen in einem frühen Stadium behandelt werden. Aufgrund der limitierten regenerativen Potenz des erkrankten Gewebes und der Komplexizität der Implantat-Oberfläche besteht immer das Risiko eines Rezidivs bzw. einer erneuten Infektion.12
CLEAN & SEAL® bietet ein Therapiekonzept für die Behandlung von periimplantärer Mukositis.
BEHANDLUNG
Nicht-chirurgische Mukositis-Therapie mit CLEAN&SEAL®
Das CLEAN&SEAL® Konzept wurde auf der Basis von wissenschaftlichen Erkenntnissen als Unterstützung für die Behandlung und Kontrolle von periimplantärer Mukositis und Parodontitis entwickelt.8,9
CLEAN&SEAL® basiert auf einer gründlichen Entfernung des Biofilms durch mechanische Reinigung in Kombination mit der adjuvanten Anwendung eines Reinigungsgels (PERISOLV®) und anschließender Versiegelung des Defekts mit vernetzter Hyaluronsäure (xHyA), um eine erneute Infektion zu verhindern und Heilungsprozesse zu unterstützen.13
Dadurch kann die Entwicklung einer Periimplantitis verhindert werden, sodass keine aufwändigen Verfahren zur Wiederherstellung des periimplantären Gewebes nötig sind und der Implantaterhalt gesichert wird.

1. CLEAN
Reinigung des Defekts und der Implantatoberfläche
Entscheidend für ein positives Behandlungsergebnis ist die Infektionskontrolle durch ein extensives Debridement zur gründlichen Entfernung des Biofilms.8,9

VORTEILE
- Aufweichen der extrazellulären Matrix des Biofilms14
- Verstärkung der Bakterienentfernung durch mechanisches Debridement
- Erleichterte Entfernung des Biofilms
2. SEAL
Versiegelung des Defekts und Unterstützung der Wundheilung mit Hyaluronsäure Erhöhung der Erfolgswahrscheinlichkeit durch die unterstützende Applikation schützender und regenerationsfördernder Versiegelungen, sowie durch regelmäßige Nachkontrollen zur Überwachung und Kontrolle der Entzündung.13

VORTEILE
- Stabilisierung und Schutz des Wundraums 13,15,*
- Beschleunigte kontrollierte Wundheilung 15-17
- Unterstützung der Knochenregeneration 16-21
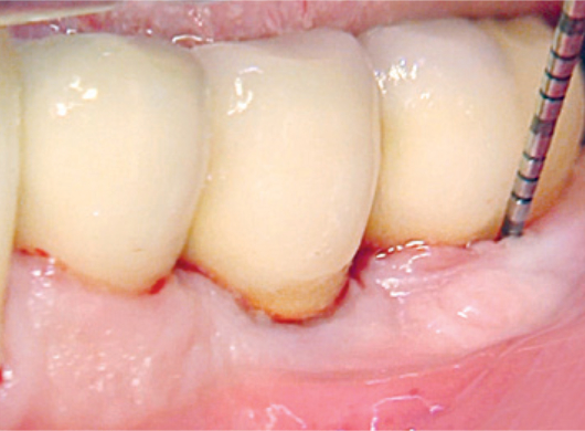
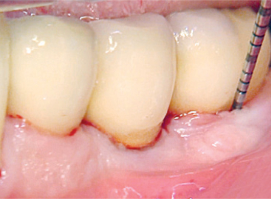
KLINISCHE EVIDENZ
Behandlung von Periimplant-Mukositis mit CLEAN & SEAL®

Dr. Marisa Roncati
Italien
LITERATUR
- Abrahamsson l et al. J Clin Periodontol 1999;26:600-607.
- Baelum V et al. J Periodontol 2004;75:1404-1412.
- Kowollik J. ZM 2008;98(12):1728-1732.
- Pecanov-Schröder A. Dental Magazin 2008;3:58-63.
- Roos-Jansaker AM et al. J Clin Periodont 2006;33:290-295.
- Schwarz F et al. Quintessenz Verlag Berlin (2007).
- Zitzmann NU. ZMK 2009;25(9):576-582.
- Jepsen S et al. J Clin Periodontol 2015;42(Suppl. 16):S152–S157.
- Costa FO et al. Journal of Clinical Periodontology 2012;39:173– 183.
- Heitz-Mayfield LJ et al. J Periodontol. 2018 Jun;89 Suppl 1:S257-S266.
- Berglundh T et al. J Periodontol. 2018;89(Suppl 1):S313–S318.
- Renvert S et al. J Clin Periodontol. 2006 May;33(5):362-369.
- Pirnazar P et al. J Periodontol 1999;70:370–374.
- a) Jurczyk K et al. Clin Oral Investig.2016 Nov;20(8):2165-2173. Epub 2016 Jan 12. b) Iorio-Siciliano V et al. Clin Oral Investig. 2021 Mar 9. doi: 10.1007/s00784-021-03841-8. Epub ahead of print.
- Rajan P et al. Universal Research Journal of Dentistry. 2013;3:113.
- King SR et al. Surgery 1991;109(1):76-84.
- Yildirim S et al. J Periodontol. 2017;15:1-14.
- Pilloni A et al. Clin Oral Investig. 2018. doi: 10.1007/s00784-018-2537-4.
- Erratum in: Clin Oral Investig. 2018;22(8):2961-2962.
- Mueller A et al. Clin Oral Investig. 2017;21(4):1013-1019.
- Asparuhova M et al. J Periodontal Res 2019;54:33–45.
- Asparuhova M et al. Clin Oral Investig. 2020;24(11):3923-3937.
- Saranraj P and Naidu MA. IJPBA, 2013;4(5):853–859.
- Saranraj P and Naidu MA. IJPBA, 2013;4(5):853–859.
- André, P. J Europ Acad Dermatol Venereol 2004;18:422–425.
- De Boulle K et al. Dermatologic Surgery 2013;39(12):1758-1766.
















